FAQ - perguntas frequentes

Índice

  1. Cárie e placa bacteriana
  2. Doenças das gengivas (periodontais)
  3. Generalidades
  4. Anestesia e sedação
  5. Emergências orais
  6. Outros problemas e seus tratamentos
  7. Dentes malposisionados e tratamentos ortodônticos
  8. Implantes, perdas dentárias e tratamentos protésicos


 

Cárie e placa bacteriana

voltar ao início desta página...

O que é a cárie dentária?

cárie em fase inicial

A cárie é uma doença específica dos dentes, causada pelas bactérias presentes na placa bacteriana. Quando a higiene é incorrecta ou insuficiente, estas produzem ácidos por fermentação dos restos alimentares (em especial os ricos em hidratos de carbono) que perfuram e destroem o dente.



voltar ao início desta página...

O que é a placa bacteriana ?

bacterias da placa bacteriana

É uma película esbranquiçada que se deposita nas superfícies dos dentes, formada por componentes da saliva, restos de alimentos e bactérias, e que aparece principalmente nos espaços entre os dentes e junto às gengivas. Através da correcta escovagem e utilizando o fio dentário é possível eliminar a placa bacteriana. Se não for removida, pode originar cáries, doenças periodontais e outras.



voltar ao início desta página...

Como se identificam as cáries ?

O correcto diagnóstico de uma cárie pode apenas ser feito pelo seu dentista, mas bons indicadores de uma cárie são as manchas escuras e pequenas cavidades nos dentes. Nas suas fases mais avançadas, a cárie provoca dores desde leves a muito intensas, enfraquece o dente, levando a que este fracture, e pode mesmo causar necrose pulpar (morte da polpa, no interior do dente), provocando abcessos, quistos e outras manifestações graves. Um tipo especial de cáries são as que se formam entre dois dentes, por lá ficar retida comida durante algum tempo - cáries interproximais; um bom indicador de uma destas, é que ao passar o fio dentário, nesse sítio ele desfia ou rompe sempre.

 

voltar ao início desta página...

Como se tratam as cáries ?

Diferença entre restauração a amálgama e a compósito

Se as cáries são descobertas nas suas fases iniciais, o tratamento é muito simples, consistindo apenas de retirar o esmalte cariado, e preencher com um material igual ao dente. Quando só são diagnosticadas já em fases avançadas, quando já dói ou já partiu o dente os tratamentos são mais difíceis podendo obrigar a várias sessões, para limpar o interior do dente, e tirar todo o tecido necrosado e infectado dos canais. Daí o interesse em tentar tratar as cáries logo que delas haja suspeita, já que torna os tratamentos muito mais simples, mais rápidos e seguramente menos dispendiosos.


voltar ao início desta página...

É possível prevenir o aparecimento das cáries ?

Se os tratamentos de cáries avançadas podem ser difíceis e dispendiosos, a prevenção é extraordinariamente simples, consistindo apenas de escovar os dentes 3 ou no mínimo 2 vezes por dia (após o pequeno almoço, depois do almoço e à noite antes de deitar), não tardando nunca menos de 4 minutos, e à noite antes da escovagem passar um fio dentário suavemente, em todos os espaços interdentários. Um hábito que também ajuda os já referidos é bochechar ocasionalmente com um elixir aconselhado pelo seu dentista (apenas complementa a escovagem e fio dentário, não os substitui!)
Nas crianças (e menos frequentemente em adultos), que por falta de destreza manual ou motivação, estão mais susceptíveis às cáries, é possível colocar, nas fissuras com maior tendência à acumulação de alimentos e bactérias, um produto chamado "selante de fissuras", que tapará essas fissuras, diminuindo a probabilidade de cárie. Os selantes actualmente realizam-se por sistema em todas as crianças, sendo o factor principal para o seu êxito a aplicação antes do aparecimento de cáries e daí que se devam realizar tão cedo quanto possível (geralmente a partir dos 3-4 anos), conforme o caso.

 

Doenças das gengivas (periodontais)

voltar ao início desta página...

Será normal sangrar das gengivas ?

Não, o sangramento das gengivas é geralmente resultado de uma "doença periodontal" (doenças das gengivas), tendo como causa a inflamação das gengivas devida à placa bacteriana e ao tártaro. Sendo assim, as suas gengivas só deixarão de sangrar quando o Médico Dentista retirar por completo o tártaro dos seus dentes.

 

voltar ao início desta página...

Porque surgem as doenças periodontais ?

As doenças periodontais à semelhança da cárie têm origem na incorrecta higiene dentária, que permite às bactérias proliferar entre a gengiva e o dente formando inicialmente a "placa bacteriana", que depois vai mineralizar formando o "tártaro". Este vai lesionar e inflamar as gengivas, originando as "gengivites" e mais tarde as "periodontites".

 

voltar ao início desta página...

Quais os sinais de alarme e a evolução?

gengivite

Numa primeira fase após a formação da placa bacteriana e tártaro, as gengivas começam por inflamar (ficam avermelhadas, inchadas e sangram durante a escovagem, tendo os dentes aparência suja e rugosa). Nesta fase inicial da doença periodontal, a "gengivite", os danos são ainda reversíveis sendo urgente tratar antes de evoluir. Quando não se tratam atempadamente as gengivites evoluem para "periodontites" (popularmente conhecidas por piorreia), cujas bactérias mais agressivas vão atacar não só as gengivas mas também os ligamentos e osso provocando perda deste à volta do dente e levando à sua mobilidade. Se por sua vez, não são tratadas de imediato, as periodontites agravam-se, levando à perda dos dentes.


voltar ao início desta página...

Qual o seu tratamento?

tartarectomia

O tratamento é realizado em função da gravidade e estado das lesões tendo como objectivo eliminar o tártaro e as bactérias nele presentes.
Nos casos mais simples, gengivites, a tartarectomia (vulgo "limpeza") seguida de uma melhoria da higiene são suficientes. Nos casos mais avançados, periodontites, é necessário raspar o tártaro das raízes afectadas e ocasionalmente recorrer a cirurgias periodontais.



voltar ao início desta página...

Mas os meus dentes ou as minhas gengivas são muito fracas?

Contrariamente à crença popular, não existem "gengivas ou dentes fracos de família"; com muito raras excepções, as suas gengivas e os seus dentes são aquilo que deles fizer, e se os escovar com regularidade e correctamente, retirando todas as bactérias e restos alimentares, evitará o aparecimento de tártaro, cáries e todas as suas consequências.

 

voltar ao início desta página...

É possível prevenir estas doenças?

Sim. Através de uma correcta escovagem diária e visitas regulares ao medico dentista a maioria das doenças periodontais são evitadas.

 

Generalidades

voltar ao início desta página...

Quais são as funções dos dentes?

Dentes saudáveis

Os dentes como estruturas extraordinariamente complexas que são cumprem diversas funções de importância primordial, como: mastigação, fala, sensibilidade, estabilidade e correcto funcionamento oclusal e da articulação temporo-mandibular e por fim funções estéticas de auto-estima e integração social.



voltar ao início desta página...

É inevitável a perda dos dentes com a idade?

Dentição

Não, ao contrário do que se pensa, a perda dos dentes com a idade depende unicamente dos cuidados que com eles temos. Tal como os restantes orgãos, eles sofrem um processo de envelhecimento que consiste de algum desgaste e espessamento da camada de dentina, ficando ligeiramente mais amarelados, mas as cáries e as doenças periodontais, que são as grandes causas da sua perda, têm ambas como factor principal a falta ou incorrecta higiene!

 

voltar ao início desta página...

A partir de que idade devo levar os meus filhos ao Médico Dentista?

Antes de mais importa referir que o desenvolvimento dos dentes começa ainda durante a gravidez e que, já durante essa fase o seu Médico Pediatra (ou o seu Médico Dentista) deverá tomar algumas precauções no sentido de favorecer um correcto desenvolvimento dentário e dos maxilares. Visto os primeiros dentes iniciarem a sua erupção por volta dos 6 meses e terminarem a mesma cerca dos 2 anos, esta é uma boa idade para começar a visitar o Médico Dentista, assegurando assim que os dentes se desenvolvem livres de cáries e que têm um correcto posicionamento nos maxilares e que estes últimos se desenvolvem de forma harmoniosa.
Outra vantagem de começar aos 2 anos é habituar as crianças desde cedo às consultas, poupando assim preocupações, tempo e obviamente dinheiro mais tarde, ao ter uma boca livre de cáries que dispensa tratamentos e um filho que aceita as consultas com naturalidade e sem medos, pois desde cedo se habituou e tem os dentes em excelente estado, sem dores, cáries ou outros problemas.

 

voltar ao início desta página...

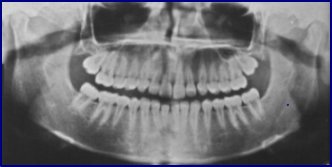
Quando são necessárias as radiografias?

ortopantomografia

Antes de mais importa referir que existem vários tipos de radiografias, cada um com diferentes fins. Na Clínica GALIZA, realizamos por sistema a todos os novos pacientes uma "ortopantomografia" (radiografia panorâmica), na qual se visualizam os maxilares, seios paranasais, dentes e outras estruturas, e que nos permite detectar cáries, fracturas e lesões ósseas e dentárias, quistos, granulomas, dentes impactados e imensas outras patologias, não perceptíveis pelo simples exame clínico do paciente
Noutro âmbito existem as radiografias "periapicais", que abrangem apenas alguns dentes e que servem para ver detalhadamente as lesões previamente detectadas, diagnosticar cáries, avaliar doenças periodontais (gengiva, ligamentos e osso que envolve o dente), etc.
Temos ainda as "cefalometrias de crânio", cujas principais funções são avaliar o crescimento e relações entre os maxilares e destes com a base do crânio, tendo a sua principal aplicação em ortodontia (especialidade que move os dentes por meio de aparelhos para posições funcional e esteticamente correctas).
Por último e apenas em casos muito específicos pode ser necessário realizar outras técnicas como TC (tomografia computadorizada), ou RMN (ressonância magnética nuclear).

 

voltar ao início desta página...

Qual a melhor forma de escovar os dentes?

Para começar deve-se, pelo menos uma vez por dia utilizar a fita dentária, antes da escovagem, para limpar os espaços interdentários, onde a escova não é eficaz.
A fita é regra geral mais eficiente que o fio dentário, por ter uma maior superfície e ser mais fina, pelo que traumatiza menos as gengivas. Deve-se cortar cerca de 40 cm de fita, enrolar a fita entre os dedos indicadores de cada mão e passar cuidadosamente com movimentos de vai vem para dentro do espaço interdentário, sem magoar a gengiva. Em seguida, passar junto aos dentes, um dente de cada vez, da gengiva para fora, raspando a placa e alimentos aí acumulados, e isto em cada um dos espaços interdentários, tendo o cuidado de ir avançando a fita, para usar sempre fita limpa.
Caso tenha espaços interdentários demasiado amplos o Médico dentista pode recomendar-lhe ainda o uso de um escovilhão interdentário.
A escova deve ser normal ou macia, com cerdas arredondadas e ter uma cabeça pequena, e a pasta ser pouco abrasiva (se possível em gel) e conter flúor (salvo casos específicos em que o Médico Dentista refira serem necessários outros componentes). A escova deve ser trocada cada 3-4 meses, pois as cerdas perdem rigidez e dobram perdendo a sua eficácia.
Os dentes devem ser escovados colocando a escova sobre as gengivas e escovando os dentes um a um, sempre no sentido da gengiva para o dente a fim de evitar o "passear da placa" de um lado para o outro. Mais importante no entanto é a sistemática, começando sempre por dentro (um a um) de ambos os lados, em seguida por baixo, nas superfícies mastigatórias, e só no fim escovar por fora; e isto em cada um dos maxilares. Por último é importante durante a escovagem passar também nas gengivas, massajando-as e estimulando circulação e regeneração destas, bem como escovar a língua retirando as bactérias e alimentos que também nela se acumulam.

 

Anestesia e sedação

voltar ao início desta página...

As anestesias doem?

Contrariamente às ideia generalizada, as técnicas anestésicas orais são altamente eficazes e na maioria dos casos indolores, sendo sempre preferíveis às dores inerentes aos procedimentos cirúrgicos.

 

voltar ao início desta página...

Que tipos de anestesia e sedação existem?

anestesia

Dividindo-as segundo os métodos aplicados, temos da mais simples para a mais complexa:
anestesia tópica
Consiste na aplicação na mucosa oral de um gel ou spray que anestesia as camadas mais superficiais desta. Regra geral serve apenas para, em determinados casos evitar a sensação da picada da anestesia local.
anestesia loco-regional
Nestas técnicas o anestésico é injectado nas terminações nervosas finais (infiltrativa) ou junto de um ramo nervoso principal (regional ou bloqueio), obtendo a anestesia de áreas muito específicas. Estas são sem dúvida as mais apropriadas à maioria das intervenções em Medicina Dentária.
sedação inalatória
Obtém-se por inalação de uma mistura variável de oxigénio e protóxido de azoto, monitorizada por um médico anestesista.
sedação e/ou anestesia intravenosa
Também esta técnica tem que ser executada por um médico anestesista, obtendo-se diversos níveis de anestesia, desde aquele em que o paciente ainda tem capacidade para responder a estímulos e ordens, até um grau de anestesia profunda, com perda completa dos reflexos protectores.
anestesia geral em bloco operatório
Consiste num estado de anestesia profunda completamente monitorizado por um médico anestesista, com perda de reflexos protectores, da capacidade de manter algumas funções vitais, e completa perda de consciência. Geralmente o paciente tem amnésia anterógrada ou seja após acordar não se lembrará de absolutamente nada do que se passou desde que perdeu a consciência. Estas técnicas usam-se apenas para cirurgias de maior amplitude ou com envolvimento de áreas cirúrgicas extraorais, e em blocos operatórios preparados para tal.

 

Emergências orais

voltar ao início desta página...

Emergências orais

Toda e qualquer emergência oral ou dentária deve ser de imediato reportada e examinada pelo Médico Dentista, que decidirá o melhor plano de tratamento para cada caso. Os conselhos aqui dados são apenas linhas gerais de conduta e nunca dispensam a consulta imediata, já que os traumatismos da boca podem lesionar gravemente não apenas os dentes, mas também as estruturas ósseas, língua, bochechas, lábios ou fundo da boca e como tal necessitar de tratamentos ou cuidados especiais de um Médico Dentista.

 

voltar ao início desta página...

Dente saiu do alvéolo, por traumatismo

Se um dente for avulsionado (sai fora do alvéolo), não o tente recolocar! Lave-o de imediato com água tépida e coloque-o numa compressa embebida em leite ou soro fisiológico. De seguida vá a uma consulta de urgência no Médico Dentista, no espaço de 1 hora pois se passar mais tempo pode já não ser viável a sua recolocação.

 

voltar ao início desta página...

Dente ficou ligeiramente para dentro ou fora, por traumatismo

Neste caso, em que o dente é extruído ou intruído, vá com urgência à consulta do Médico Dentista, mais uma vez no espaço de 1 hora, e não tente recolocá-lo, pois pode ter havido fractura da raiz do dente ou do osso que o suporta; se este estiver muito móvel, simplesmente humedeça uma compressa em soro fisiológico ou leite e segure-o no sítio até chegar à consulta.

 

voltar ao início desta página...

Parti um dente

Uma fractura dentária deve ser tratada com o máximo de urgência, se possível no espaço de 12 horas, dependendo o tratamento da extensão e tipo de fractura. Fracturas muito ligeiras, podem ser apenas polidas e deixadas assim se não afectarem a estética e a função mastigatória; caso afectem devem ser restauradas por forma a restituir a forma original. Fracturas mais extensas podem necessitar de tratamentos mais complicados, dependendo de ter ou não afectado a polpa, e do grau de afecção. Por último fracturas muito extensas, geralmente afectam esmalte, dentina, polpa e raíz do dente, sendo por vezes difícil recuperar o dente afectado.

 

voltar ao início desta página...

Lesionei a língua, bochechas, palato ou lábios

Estes traumatismos, são geralmente cortes, lacerações ou feridas de punção, e como tal, deve antes de mais assegurar-se que não existem fragmentos de objectos visíveis, e se houver hemorragia, comprimir ligeiramente com uma compressa com soro fisiológico ou povidona iodada (Betadine(R)). Em seguida deve dirigir-se de imediato ao Médico Dentista para este proceder à correcta limpeza, desinfecção e se necessário sutura da ferida.

 

Outras patologias e seus tratamentos

voltar ao início desta página...

Tenho os dentes muito sensíveis, a que se deve?

Geralmente a "hipersensibilidade dentária", tem a sua origem na exposição de parte da dentina na raiz ou após desgaste do esmalte que a recobre na coroa, expondo assim os túbulos dentinários, onde estão situadas umas células que originam a sensibilidade. Esta exposição da dentina, tem como causas mais comuns, uma escovagem incorrecta (horizontal), demasiado vigorosa e com escova dura, que traumatize a gengiva e desgaste o esmalte expondo a dentina, ou "periodontites" em que haja perda de gengiva e osso à volta do dente, e portanto exposição da dentina da raiz do dente.

 

voltar ao início desta página...

E como posso tratar esta hipersensibilidade?

O tratamento a realizar, depende essencialmente do grau de exposição das raízes, se é num só dente ou em vários, e da resposta aos tratamentos. Geralmente os tratamentos iniciais são simples como aplicações de dessensibilizantes concentrados, escovagem com pasta dessensibilizante ou restauração das lesões, sendo na maioria dos casos suficiente para terminar com os sintomas. Se os tratamentos conservadores não forem suficientes, pode ser necessário remover a polpa dos dentes afectados, com vista a eliminar a sensibilidade e dor.

 

voltar ao início desta página...

Porque aparecem dentes impactados e malposicionados?

dente do siso inferior malposicionado, causando inflamação severa e com indicação para extracção

A nossa espécie no seu processo evolutivo tem vindo a sofrer algumas adaptações e o tamanho dos maxilares tem vindo a diminuir, devido a uma alimentação, cada vez mais mole, que dispensa maxilares potentes e 32 dentes. Assim, alguns dentes têm tendência a não surgir ou surgir com falta de espaço, caso dos 3º molares (dentes do siso), 2º pré-molares e incisivos laterais.
Assim, frequentemente, por falta de espaço nos maxilares ou perdas precoces de dentes de leite (que levam a movimentações anómalas dos definitivos), alguns dentes vêm-se impossibilitados de erupcionar correctamente, podendo ficar em posições anómalas onde inflamam cronicamente a gengiva, provocam incómodos ao mastigar, ferem as bochechas, empurram outros dentes ou são difíceis de escovar, ou por outro lado ficar impactados dentro do osso podendo afectar os dentes adjacentes, o próprio maxilar ou provocar dores intensas.


voltar ao início desta página...

Quais são os tratamentos possíveis para estes casos?

Estes dentes podem ter sequências de tratamento muito diferentes, como deixá-los no sítio, caso não afectem nada, extraí-los caso estejam a danificar os dentes adjacentes, o maxilar ou a oclusão do paciente ou mais recentemente e em casos muito específicos, trazê-los à posição normal, ou ainda transplantá-los para o espaço de um outro previamente extraído.

 

voltar ao início desta página...

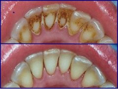
Tenho os dentes escuros, amarelos ou com manchas, que posso fazer?

As colorações dentárias, podem ser de muitos tipos: genéticas, devidas a determinados medicamentos, devidas à morte da polpa ou, as mais comuns, simplesmente devidas a agentes externos como café, tabaco ou alimentos com corantes. Desta forma e apesar de o tratamento variar de acordo com a origem da coloração, as mais comuns podem ser resolvidas por três tipos de tratamentos:
tartarectomia
este tratamento (vulgo "limpeza"), deve ser feito no mínimo 1 vez por ano e para além de retirar o tártaro, pode por acção de um jacto de bicarbonato (que o dentista usa quando entende necessário) retirar os corantes das camadas mais superficiais
Branqueamento total branqueamento total
é um tratamento extraordinariamente simples que pode ser realizado em casa ou no consultório. Quando feito em casa, consiste na confecção de uma placa maleável transparente ("goteira") perfeitamente adaptada aos dentes, na qual é aplicado um gel que libertará os corantes acumulados nas camadas profundas dos dentes. Esta goteira pode ser usada durante o dia ou durante a noite conforme lhe convier. Se realizado no consultório, este tratamento é algo mais complexo, sendo utilizado com um gel bastante mais concentrado, e alguns procedimentos adicionais para um efeito rápido e imediato, mas com resultados semelhantes.
Branqueamento unitario branqueamento unitário
quando é apenas um dente que está mais escuro que os restantes isso geralmente deve-se ou a necrose (apodrecer) da polpa ou a um tratamento desta, no qual ficaram resíduos que escureceram o dente. Nestes casos o tratamento consiste em abrir, limpar e desinfectar bem (sendo por vezes necessário refazer o tratamento) e colocar um gel branqueador muito concentrado coberto por um material provisório. Este tratamento pode ser repetido as vezes que se entender necessário, até obter a cor desejada.

 

voltar ao início desta página...

Tenho vários dentes tratados mas não gosto da cor cinzento metálico, posso mudar?

Se até há alguns anos atrás o único material com características físicas capazes de suportar as intensas forças mastigatórias era o inestético "amálgama" (conhecido por chumbo), actualmente dispomos de diversos materiais com características óptimas quer físicas quer estéticas, podendo reconstruir dentes com perfeição quase absoluta. Assim os materiais de eleição na actualidade são os "compósitos" e "compómeros", pelo que praticamente qualquer restauração antiga inestética pode ser substituída, reproduzindo o dente com absoluta perfeição, bastando para tal pedi-lo ao seu dentista.

 

Dentes malposicionados e tratamentos Ortodônticos

voltar ao início desta página...

Porque razão tenho os dentes mal alinhados?

dentes apinhados

As causas mais comuns de malposições e apinhamentos dentários são a perda prematura de dentes de leite, e consequentes migrações anómalas dos dentes, provocando perdas de espaço para a erupção harmoniosa dos últimos dentes, a ausência congénita ou impactação óssea de alguns dentes e ainda alguns hábitos da infância, como chuchar no dedo ou utilizar chupeta para além dos 2 anos.


voltar ao início desta página...

E como posso endireitá-los?

aparelho ortodôntico fixo

Os "tratamentos ortodônticos" são variados, e dependem muito das anomalias, e se nos casos mais simples em especial na infância onde o crescimento dos maxilares e posições dentárias são facilmente modificáveis, os aparelhos removíveis são geralmente suficientes, em casos mais complexos ou já em idade adulta temos que recorrer aos aparelhos fixos aos dentes, que realizam movimentos muito mais precisos e complexos. Actualmente temos ainda a hipótese de realizar estes tratamentos de forma mais estética fixando os brackets por dentro ou usando brackets brancos.
Qualquer tratamento ortodôntico envolve movimentos dos dentes nos maxilares, e como tal requer no mínimo 1 a 2 anos caso contrário dá-se recidiva ao estado inicial. Nos tratamentos com ortodontia fixa, e nos primeiros dias após o ajuste do aparelho, sente-se algum desconforto especialmente às refeições, mas essa sensação passa em apenas alguns dias, com a evolução do tratamento.


voltar ao início desta página...

Que cuidados devo ter enquanto utilizo o aparelho ?

Visto os aparelhos facilitarem imenso a deposição de alimentos e bactérias nos dentes, os cuidados na higiene dentária devem ser redobrados, devendo escovar cuidadosamente os dentes e o aparelho e bochechar regularmente com um elixir com flúor para evitar as cáries e desmineralização dos dentes. Se nalguma ocasião não for possível escovar os dentes após uma refeição, bocheche vigorosamente com água para minorar a deposição de restos alimentares no aparelho e nos dentes. São ainda de evitar as bebidas açucaradas e doces (por aumentarem a deposição de placa bacteriana e a desmineralização, bem como pastilhas e alimentos duros (pois podem fracturar ou dobrar os arames).

 

Perdas dentárias e tratamentos protésicos Implantológicos

voltar ao início desta página...

Quais são as consequências da perda dos dentes?

A perda dos dentes acarreta sempre consequências de diversos tipos, como sobreerupção do dente oposto, migração incorrecta dos dentes adjacentes, desequilíbrio oclusal e funcional dos maxilares e dentição, reabsorção do osso alveolar no local do dente perdido, enfraquecer a estrutura do maxilar, consequências na mastigação e alimentação, na fala, e por último consequências estéticas e sociais.

 

voltar ao início desta página...

O que é um Implante Dentário?

implante dentário

Basicamente um implante dentário consiste numa peça em titânio, de precisão absoluta, e com uma superfície especial, que é cuidadosamente introduzida no osso do maxilar ou mandíbula onde se "osteointegra" criando uma união real com este, e que tem por fim substituir a raiz de um dente perdido ou suportar uma prótese com vários dentes.


voltar ao início desta página...

São os implantes dentários eficazes?

Apesar de a implantologia ser uma área de desenvolvimento muito recente, e de o prognóstico depender de muitos factores, actualmente as taxas de sucesso que se conseguem atingir, são de 90 - 98%, e há casos relatados de implantes em boca há mais de 30 anos. No entanto tudo isto depende em grande parte do cumprimento rigoroso dos protocolos higiénico e pós-operatório por parte do paciente, bem como da perícia e experiência dos médicos envolvidos.

 

voltar ao início desta página...

Serei eu candidato a implantes?

prótese híbrida implantosuportada

Se inicialmente muito poucas pessoas eram aceites para tratamentos com implantes dentários, na actualidade e com a evolução de novas técnicas da medicina e de novas tecnologias, praticamente qualquer pessoa com estado de saúde razoável e vontade de substituir os dentes perdidos por uma solução que os imita com uma elevada perfeição, o pode fazer.
No respeitante à idade, geralmente só se põem implantes a partir dos 16 anos, para esperar o total desenvolvimento dentário e ósseo, mas não existe um limite superior de idade, sendo o factor verdadeiramente importante o estado de saúde que o Médico Dentista avaliará.
Quanto à falta de dentes (edentulismo), na actualidade os implantes dentários são utilizados em praticamente todos os tipos de edentulismo, e com todos os tipos de prótese, desde implantes unitários por cada dente perdido até um número variável de implantes conforme o caso, para suporte de próteses totais ou parciais, fixas ou removíveis, e de diferentes materiais conforme o caso o exige ou permite.


voltar ao início desta página...

Qual é a melhor altura para colocar implantes?

Sendo um dos factores mais importantes na colocação cirúrgica de implantes dentários a quantidade e qualidade de osso disponível, e sabendo-se actualmente que imediatamente após se extrair um dente, se inicia um processo de reabsorção óssea (sendo a única forma de o impedir a colocação de implantes), a melhor altura para colocar um implante é logo após a extracção, poucas semanas depois ou tão cedo quanto seja possível.

 

voltar ao início desta página...

Mas eu já perdi os dentes há muito tempo, será que ainda posso fazer implantes?

Dada a diversidade de procedimentos cirúrgicos actualmente disponíveis, e o desenvolvimento de novas técnicas, praticamente qualquer pessoa saudável, está apta a receber implantes; no entanto, em ultima instância tudo depende da avaliação cuidadosa que o Médico Dentista em conjunto com uma equipa multidisciplinar fizer do seu caso em particular, sendo para esta indispensável uma radiografia panorâmica dos maxilares, e na maioria dos casos um TAC. Em casos mais complexos, podem ser necessárias intervenções adicionais para criar osso onde este foi reabsorvido, o que pode tornar o tratamento mais demorado bem como oneroso, o que mais uma vez ressalta a importância de substituir os dentes perdidos tão cedo quanto seja possível.

 

voltar ao início desta página...

Quem está habilitado para colocar implantes?

prótese fixa de implante unitário

Sendo a implantologia uma área extraordinariamente específica, apenas profissionais com formação e treino adequado devem colocar implantes. Assim sendo, se o seu dentista não tiver essa formação, poderá remetê-lo a um colega habilitado a fazer tratamentos implantológicos.
Na Clínica GALIZA dispomos de um Médico Dentista dedicado em exclusivo à implantologia, prótese implanto-suportada e cirurgia oral, e ainda do apoio de especialistas de cirurgia geral e de anestesia, para casos mais complicados.



voltar ao início desta página...

E o tratamento é complicado ou doloroso?

Se bem que são tratamentos minuciosos, habitualmente feitos em várias etapas, e que exigem um cuidadoso planeamento por parte dos especialistas envolvidos, para o paciente são extraordinariamente simples, rápidos e quase sempre realizados sob anestesia local e sem qualquer dor no espaço de um par de horas. No pós-operatório, após passar o efeito da anestesia e durante uns dias poderá haver um ligeiro inchaço e desconforto mas que devidamente controlado por medicação adequada e algumas recomendações, se ultrapassa sem dificuldade e com um mínimo de transtorno

 

voltar ao início desta página...

Quais são as vantagens dos tratamentos com implantes em relação às próteses convencionais?

implantes múltiplos e prótese fixa implantosuportada num maxilar superior

As vantagens são numerosas, sendo o único método que preserva a sensibilidade de pressão e textura, e que impede a perda do osso alveolar nos maxilares após a perda dos dentes, impedindo assim o afundamento e acentuar das rugas da pele que levam a uma aparência facial envelhecida.
Outra vantagem é a extraordinária resistência e estabilidade que conferem aos dentes neles apoiados, sendo regra geral mais estáveis que as raízes dos dentes naturais, pelo que melhoram a mastigação, a fala e a estética.
Por último, e entre imensas outras vantagens, se a higiene for cuidadosa, os implantes dentários são como uma sua terceira dentição, podendo durar toda a sua vida sem que note diferença absolutamente nenhuma, já que estão totalmente imersos no osso, tal como as raízes.


voltar ao início desta página...

E em que casos se podem colocar implantes?

Actualmente os implantes dentários são utilizados em praticamente todos os tipos de edentulismo (falta de dentes), e com todos os tipos de prótese, desde implantes unitários por cada dente perdido até um número variável de implantes conforme o caso, para suporte de próteses totais ou parciais, fixas ou removíveis, e de diferentes materiais conforme o caso o exige ou permite.
Quanto à idade, geralmente só se põem implantes a partir dos 16 anos, para esperar o total desenvolvimento dentário e ósseo, mas não existe um limite superior de idade, sendo o factor verdadeiramente importante o estado de saúde que o Médico Dentista avaliará.

 

voltar ao início desta página...

Quais são os procedimentos nas consultas?

Mais uma vez tudo depende da complexidade do caso, mas por sistema há uma consulta inicial apenas para colheita de uma minuciosa história clínica, explicação detalhada dos procedimentos, e realização de radiografias, fotografias e outros testes ou análises que possam ser necessárias para elaboração de um correcto plano de tratamento.
Após esta primeira fase realiza-se a cirurgia de colocação dos implantes, à qual se segue de um período de espera de 3 a 6 meses em que se dará a osteointegração destes no osso. Ao fim deste período, estamos aptos a realizar uma segunda cirurgia muito simples, para expor o topo dos implantes e no espaço de cerca de 1 mês confecciona-se a prótese que por eles estará suportada. Como foi dito, este é o protocolo mais habitual, podendo em casos que o requeiram ser necessárias cirurgias adicionais.

 

voltar ao início desta página...

Após o tratamento que posso eu fazer para que tudo corra bem?

Existem alguns cuidados básicos que lhe permitem assegurar um bom pós-operatório e por conseguinte o sucesso do tratamento. O primeiro factor é obviamente a higiene, esta tem de ser excelente, escovando 3 vezes por dia com uma escova suave e técnica correcta, durante nunca menos de 3 minutos, e podendo ser adjuvada por um elixir com anti-séptico caso o Médico Dentista o entenda.
O segundo factor mas não menos importante é o fumo do tabaco. Se os implantes são um tratamento de eleição, também merecem algum sacrifício pelo que o ideal será deixar de fumar pelo menos 1 mês antes da cirurgia e se não for possível fazê-lo definitivamente, pelo menos durante os 3 meses a 1 ano do tratamento é crucial para o sucesso que não fume, pois entre muitas acções prejudiciais, o fumo do tabaco favorece a infecção, e compromete gravemente a vascularização sanguínea e a cicatrização e por conseguinte o sucesso dos implantes.
Na actualidade na comunidade científica mundial é uniforme a opinião de que as taxas de sucesso baixam dos 95% para cerca de 65% em fumadores activos, o que faz com que o fumo do tabaco seja a maior causa de perda de implantes!
Por último, como cuidados no pós-operatório imediato deve durante duas semanas tomar a medicação prescrita rigorosamente, (para anular a dor e inflamação), fazer uma alimentação mole e fria (mas nutricionalmente correcta, visto a malnutrição prejudicar a cicatrização), e ainda evitar exercícios físicos violentos.

 

voltar ao início desta página...

Constou-me que os implantes são um tratamento caro, é verdade?

Os implantes dentários são um tratamento bastante complexo e que envolve toda uma equipa de profissionais, integrados numa equipa multidisciplinar que elabora o plano de tratamento e acompanha todo o processo ao longo dos 3 meses a 1 ano ou mais, para que o seu transtorno seja mínimo e o resultado o melhor possível.
Adicionalmente, sendo um trabalho de grande minúcia realizado com metais preciosos e semipreciosos, como o titânio e o ouro (por serem biologicamente aceites e integrados), naturalmente torna-se mais oneroso que os tratamentos dentários mais convencionais.
No entanto também no resultado se distinguem de qualquer outro tratamento por serem geralmente a alternativa mais perfeita e que melhor reproduz estética e funcionalmente os seus dentes naturais perdidos.
Assim sendo os honorários variam imenso, dependendo mais do tipo de prótese, cirurgias necessárias e complexidade de cada caso específico que propriamente do número de implantes, mas a generalidade dos pacientes que optam por um tratamento implantológico, acabam por sentir a melhoria drástica que representa terem dentes seguros, funcionais, estéticos e duradouros, acabando por valer a pena o sacrifício, para poder usufruir da qualidade de vida que os implantes dentários proporcionam a quem à muito tinha dificuldade em se alimentar, falar ou simplesmente sorrir.

voltar ao início desta página... voltar à página inicial do Site...